
Aortic Dissection Surgery in Delhi
Those who have ever worn an old coat might be able to appreciate how a dissection develops. If the inner seam in the arm sleeve of an old coat is worn out and torn, your hand can go into the wall of the coat sleeve instead of the center where it normally goes. So the hand won’t be able to come out of the hole from where it normally comes out. In an aortic dissection, blood finds a tiny gap in the inner layers of the aorta and, with pressure, rapidly enters the wall of the aorta. As in a coat sleeve, if you apply excessive pressure towards the end, you can tear a seam, and the hand can come out. In the aorta, this would be fatal because blood would escape from the vascular tree, and the person would die of internal hemorrhage, explains the top heart doctor, Dr. Sujay Shad.
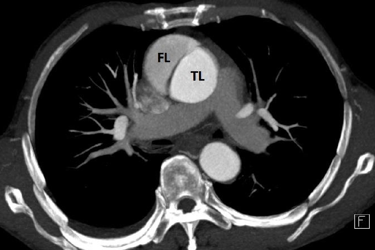
A 47-year-old non-diabetic, hypertensive male patient was admitted with sudden onset chest pain, severe headache, pain, and weakness of both limbs for 2-3 hrs at Sir Ganga Ram Hospital. He was unable to move his lower limbs. Peripheral pulses were absent in the right upper limb and both lower limbs. Echo showed moderate aortic valve leak with a dissection flap in ascending aorta. CT Aortogram confirmed Type A aortic dissection from the level of the heart valve up to the division of aorta into arteries of lower extremities. In view of the diagnosis, he was shifted to OT for emergency surgery.
Surgery
The chest was opened in the middle, and we found a massively dilated ascending aorta with clear dissection commencing at the usual site 1 cm from the coronary arteries. A severe aortic valve leak was due to torn aortic leaflet support, despite normal aortic valve leaflets. This is an open heart surgery, performed by the expert heart surgeon Dr. Sujay Shad.
The complex surgery to reestablish the circulatory system and provide appropriate direction of blood flow in the body takes almost 7 hours. For about three hours, the body and heart are supported by a heart-lung machine, and I need to stop the heart for about 1.5 hours. For a very limited time, when I repair the aortic arch and reestablish circulation to the brain, blood circulation to the body is stopped completely. Moderate hypothermia protects splanchnic organs while the brain is transiently supplied with a separate blood supply from the heart-lung machine. During this best open heart surgery performed by an expert heart surgeon, the aortic valve is repaired and resuspended, the dissected ascending aorta (from where the entire dissection originates) is removed, and a new tube graft replaces the native ascending aorta and part of the aortic arch. Blood now flows normally; once the heart function returns, the machines are turned off carefully and separated from the patient. Control of bleeding is vital in this surgery and is achieved with close synchronization between the anesthesia team and surgeon. Once returned to the ICU from the OT, patients recover over time and are often discharged within 4-6 days.
We understand that the sooner these patients reach the operating theaters after the onset of symptoms, it is the better option. For this reason, we have established a 24 x7 service to cater to all patients with major vascular emergencies. Dr. Sujay Shad, the best heart doctor,is always available for serving his patients at the best.
Conclusion
- Aortic dissection is a life-threatening emergency,
- Patient outcomes are directly related to delay in surgery,
- Early referral to an aortic center with 24×7 aortic service is vital,
- A multidisciplinary casualty service, radiology, transfusion, anesthesia, surgery, intensive care, and cardiology team is crucial for excellent outcomes.


